当前位置:首页 > 社会 喝奶茶胃里百颗珍珠 摊大事了!

喝奶茶胃里百颗珍珠 摊大事了!

作者:chunzhi 发布时间:2019-06-06

  喝奶茶胃里百颗珍珠,摊大事了!

paz灵异岛|www.lingyidao.com
喝奶茶胃里百颗珍珠  摊大事了!paz灵异岛|www.lingyidao.com

  浙江诸暨市的14岁女孩小沈,就是这么一位奶茶控,可不幸的事,因为长期喝珍珠奶茶,她摊上事儿了。paz灵异岛|www.lingyidao.com

paz灵异岛|www.lingyidao.com
喝奶茶胃里百颗珍珠  摊大事了!paz灵异岛|www.lingyidao.com

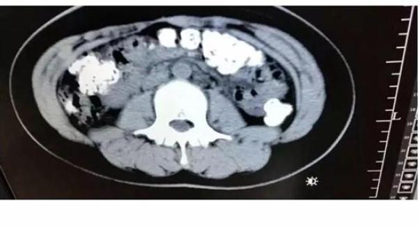
  前些日子,小沈突然肚子疼,而且最近5天都无法排便,吃不下东西。她赶紧跑到医院去挂了急诊,结果照了个CT发现,她的胃肠道里,布满高密度颗粒状阴影,疑似珍珠奶茶里的“珍珠”,估计有百余颗。paz灵异岛|www.lingyidao.com

  于是,医生就问小沈,最近吃了什么东西,小沈吞吞吐吐说,自己5天前喝过珍珠奶茶,自那以后就发现身体有了问题,但是因为害怕被骂,一直忍着没有告诉爸爸妈妈。paz灵异岛|www.lingyidao.com

paz灵异岛|www.lingyidao.com
喝奶茶胃里百颗珍珠  摊大事了!paz灵异岛|www.lingyidao.com

 1/3    1 2 3 下一页 尾页

关于灵异岛 | 加入我们 | 媒体合作 | 声明 | 联系我们 | Sitemap |